Um amor chamado Facetas de Resina
Conheça alguns dos nossos projetos que transformaram sorrisos e devolveram a autoestima para nossos pacientes.


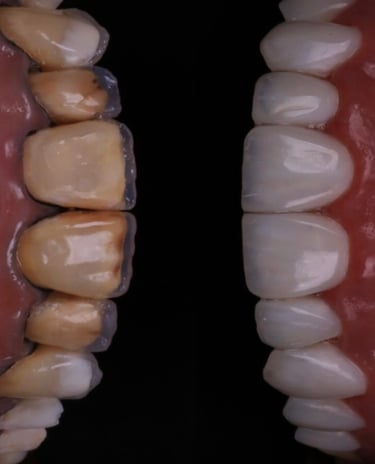
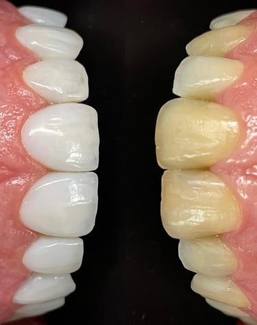
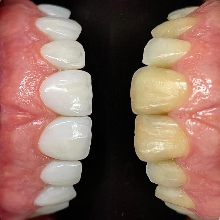
Transformações


O que são as facetas de Resina?
As resinas que são aplicadas sobre os dentes de forma adesiva, vieram revolucionar a odontologia. Hoje conseguimos acrescentar, sem necessariamente ter que desgastar.
Assim podemos modelar e modificar os dentes de forma conservadora e maravilhosa!








Email: modellesorrisos@gmail.com
modellesorrisosmeier@gmail.com
Ligação: (21) 3795-7238
Unidade Largo do Machado:
Rua Bento Lisboa 184, sala 206, Catete, cep 22221-011
Unidade Méier:
Rua Lucídio Lago 126, sala 409, Méier, cep 20780-020
Agendamento Largo do Machado: (21) 96567-7756
Agendamento Méier: (21) 96772-8136
Dúvidas e informações: (21) 99250- 1003
